Normal Eardrum


Comment:
With a normal eardrum, NBI can enhance visualization of superficial vessels running from up above along the malleus.
Images and comments by Dr. S. Takano <ENF-V2>
Eardrum during Crying Aged 1, male


Comment:
Dilation of relatively superficial vessels along the malleus was observed.
Images and comments by Dr. S. Takano <ENF-V2>
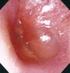
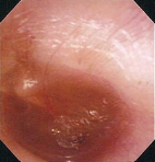
Acute Otitis Media (Bullae in Eardrum) Aged 7, female
Before paracentesis




6th day after paracentesis


Comment:
Views on the 2nd day after onset of acute left otitis media. NBI enhanced visualization of deeper vessels.
After paracentesis, NBI could still enhance visualization of deeper vessels thus another incision was required.
Images and comments by Dr. S. Takano <ENF-V2>
Acute Otitis Media (Fluid Retention in Eardrum)
Aged 4, female


Aged 5, female


Comment:
In the case of fluid retention in the eardrum, NBI was often able to enhance visualization of superficial vessels.
Images and comments by Dr. S. Takano <ENF-V2>
Acute Otitis Media (Eardrum Bulging) Aged 11, female


Comment:
In the case of a bulging eardrum, NBI was often able to enhance visualization of deeper vessels.
Images and comments by Dr. S. Takano <ENF-V2>
Acute Otitis Media (Eardrum Thickening) Aged 3, female
Before paracentesis




7th day after paracentesis


Comment:
In the case of eardrum thickening, NBI was not able to enhance visualization of the vessels clearly.
Fluid pooled again after paracentesis. However, even NBI did not enhance visualization of the vessels and the lesion was cured completely without
further intervention.
Images and comments by Dr. S. Takano <ENF-V2>
- Content Type