Informe de caso - Cáncer temprano (CIS)
Autor: Doctor en Medicina con Doctorado, Prof. Felix JF Herth, DSc, Thoraxklinik, Universidad de Heidelberg, Alemania Doctor en Medicina con Doctorado, Ralf Eberhardt, Thoraxklinik, Universidad de Heidelberg, Alemania
Fuente: DVD-ROM ‘Endoscopic Ultrasound – Diagnostics and Staging of Lung Cancer’, Olympus Europa SE & Co. KG, 2013
Fuente:
DVD-ROM ‘Endoscopic Ultrasound – Diagnostics and Staging of Lung Cancer’,
Olympus Europa SE & Co. KG, 2013
Modalidad:
EBUS con una sonda miniatura de ultrasonido radial
Historial del paciente

46 años, fumador (40 cajetillas al año) con hemoptisis leve.
Radiografía
Normal [fig 1].

CT
Normal [fig 2].
Broncoscopia inicial
Normal.
Citología de esputo
sospechoso de CPCNP.

Videobroncoscopia
La videobroncoscopia consecutiva en el centro pulmonar mostró estructuras sospechosas de la mucosa.
EBUS descriptivo con sonda en miniatura de escaneo radial revela cáncer microinvasivo [fig 3,4].


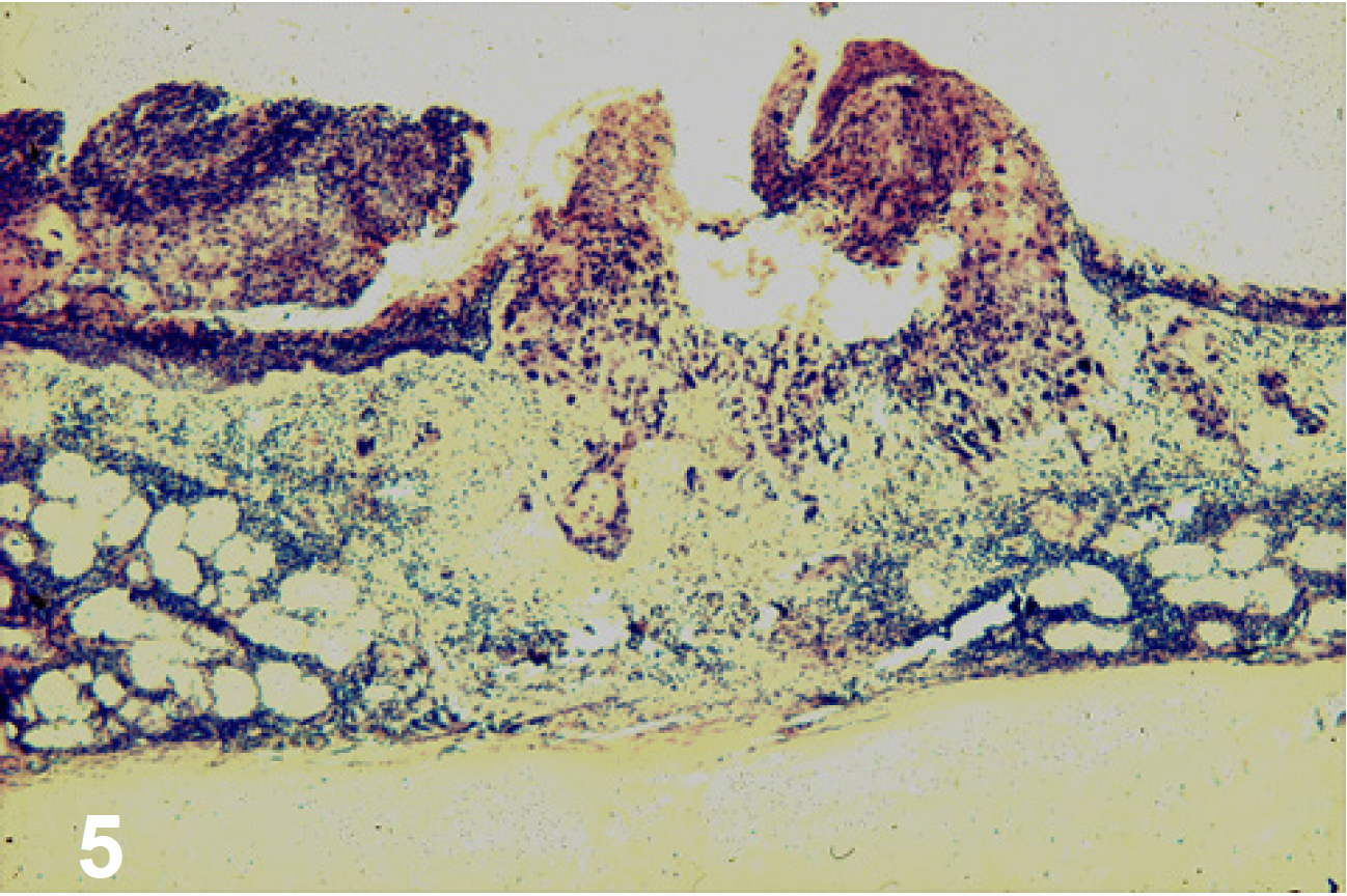
Histología
CPCNP [figura 5].
Etapa
Tis.
Terapia
Lobectomía del lóbulo superior derecho.
Beneficio
Detección del cáncer. Estadificación adecuada.
Decisión correcta de la terapia. Mejor tasa de supervivencia.
- palabra clave
- tipo de contenido