OLYMPUS On-Demand Library
Add to View

Duodenum Case 5

Dr. Jae Young Jang 

Associate professor in division of Gastroenterology,

Department of Internal Medicine, Kyung Hee University Hospital,

Seoul, Korea

Procedure information


Scope: GIF-HQ290

Case: Low grade dysplasia

Organ: Duodenum, 2nd portion

Patient information: 65 years old, Male

Medical history: Healthy person

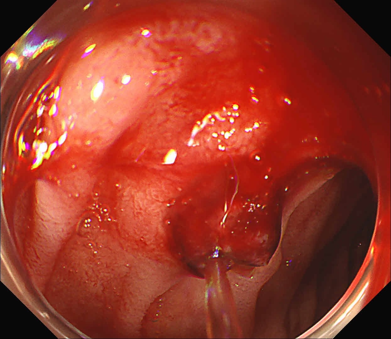
1. WLI Observation

1 day after EMR state, active oozing and blood clot were noted at the 2nd portion of duodenum

Enhancement : A4
NBI Mode : NA
TXI Mode : NA
RDI Mode : NA
BAI-MC : Off

2. RDI Observation

Clear identification of oozing spot due to the emphasizing of color difference through RDI

Enhancement : A4
NBI Mode : NA
TXI Mode : NA
RDI Mode : 1
BAI-MC : Off

3. RDI Observation

Clot was removed after epinephrine mixture injection. Oozing spot was still easily identified.

Enhancement : A4
NBI Mode : NA
TXI Mode : NA
RDI Mode : 1
BAI-MC : Off

4. RDI Observation

Efficient hemostasis with coagrasper by enhanced visibility of bleeding point and its surrounding part

Enhancement : A4
NBI Mode : NA
TXI Mode : NA
RDI Mode : 1
BAI-MC : Off

5. RDI Observation

Successful hemostasis under RDI

Enhancement : A4
NBI Mode : NA
TXI Mode : NA
RDI Mode : 1
BAI-MC : Off

6. WLI Observation

Successful hemostasis

Enhancement : A4
NBI Mode : NA
TXI Mode : NA
RDI Mode : NA
BAI-MC : Off

Case Video

At first, it was difficult to identify the bleeding point due to continuous bleeding after the procedure. However, after turning on the RDI function, the bleeding site could be clearly identified. By distinguishing between the bleeding source and its surroundings and by quickly stopping bleeding, additional time and effort could be saved.

Overall Comment

It was difficult to find the bleeding point particularly in heavy bleeding. However, when observed with RDI, the color of blood was observed as light reddish brown, making it easier to find the bleeding point than it was before. With this point of view, RDI enhances the efficiency of the procedure and patient safety at the same time it increases the rate of hemostasis of possible bleeding during and after resection.

* Specifications, design and accessories are subject to change without any notice or obligation on the part of the manufacturer.

Keyword
Content Type