Caso 1 – doença extensiva de CPPC (T4N2M0) Autor:
Autor: Felix Herth, MD, e Ralf Eberhardt, MD, Thoraxklinik, Universidade de Heidelberg, Alemanha
Fonte: DVD-ROM ‘Light & Sound – Diagnostic Training’, Olympus Europa SE & Co. KG, 2013
Histórico do paciente
Mulher de 44 anos.
A paciente relatou diminuição da condição de saúde e
maior fraqueza.
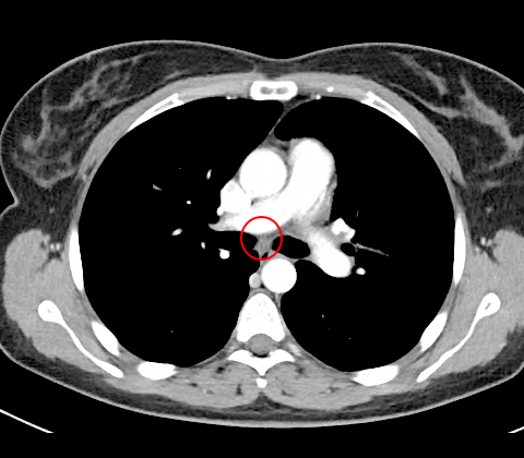
Tomografia computadorizada
A tomografia computadorizada mostra um tumor na divisão brônquica principal esquerda dos lobos superior e inferior (fig.1) e um pequeno linfonodo na estação linfonodal 7 (fig.2).


White light bronchoscopy
HDTV videobronchoscopy provides detailed information of tumour formation in the left main bronchus (fig. 3-6).
3

5

Amostragem por crio-biópsia (fig.7).
Ultrassom endobrônquico
Estação linfonodal 7 amostrada.
Histologia e imuno-histoquímica
A amostra de LN 7 mostra-se positiva para câncer de pulmão (apesar do pequeno tamanho do linfonodo). As amostras de tecido do tumor são positivas para BerEP4 e CK7, menos para AE1/3 e fracas para KL-1, além de fracas para NSE e sinaptofisina.
Núcleos fortemente positivos para TTF-1 na ausência de uma reação imune a CD45, GFAP, CK5/6 ou p63. Variável regional da taxa de proliferação entre 70-80% (Ki67).
Diagnóstico
Doença extensiva de CPPC no lobo inferior esquerdo (T4N2M0).
Tratamento
Três ciclos de quimioterapia (Cisplatina + Etoposídeo).
- Content Type