Case: 左主気管支腫瘍
姫路 大輔 先生
宮崎県立宮崎病院
内視鏡センター・内科・医療情報科
使用スコープ: BF-H1200
症例: 肺癌の左主気管支浸潤
部位: 気管下部〜気管分岐部
患者情報: 70歳代男性
既往歴: 1ヶ月前からの嗄声、咳嗽あり近医受診。左肺門部肺癌を疑われ当科紹介となる。
症例動画
WLIでの観察と比べ、TXIでは腫瘍表面の血管の性状、分布、縦走襞の性状が強調されています。そのため腫瘍の気管支壁浸潤の程度を検討しやすい画像となっています。
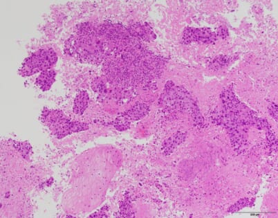
病理診断
肺扁平上皮癌(縦隔リンパ節転移部位からのEUS-B-FNAでの診断:出血による合併症を防ぐため、左主気管支の腫瘍からの生検はおこなわなかった)

腫瘍細胞は多型な細胞質と多形な核を有している。腫瘍細胞はCK7とP40陽性でTTF-1陰性であった。
総括コメント
インターベンションの方針を検討するため、気管支鏡検査を施行した。WLI画像の画質は極めて鮮明であった。またWLIでの観察に比べ、TXIは血管の性状、縦走襞の走行、肥厚が強調され、病変の性状、浸潤範囲を把握しやすかった。本例はその後DUMONステントが留置された。
共同編者
宮崎県立宮崎病院 内科
田中 弦一 先生、松本 亮一 先生、椎葉 律哉 先生
宮崎県立宮崎病院 外科
別府 樹一郎 先生、尾立 西市 先生
宮崎県立宮崎病院 病理診断科
丸塚 浩助 先生、阿萬 紫 先生
* 仕様・デザイン・付属品等は、メーカーの予告なく変更されることがあります。
- Content Type