On-Demand Library On-Demand Library
リストへ追加

Junichi Inokuchi, MD. Katsunori Tatsugami, MD. Prof. Seiji Naito, MD. Kyushu University, Japan

乳頭型・有茎性/広基性 80歳・女性

通常光

NBI

病理 UC, pTa, Low grade(G2)

通常光

NBI

コメント

通常光でははっきりしない小さな腫瘍が、NBIにてよりはっきり確認できる。悪性度の低い乳頭型腫瘍。

乳頭型・有茎性 61歳・男性

通常光

NBI

病理 UC, pTa, Low grade(G1>G2)

コメント

NBIにて腫瘍辺縁が分かりやすくなる。悪性度の低い乳頭型腫瘍。

乳頭型・有茎性 82歳・男性

通常光

NBI

病理 UC, pTa, Low grade(G2)

コメント

通常光にて見落としやすい小さな腫瘍だが、NBIにて腫瘍辺縁までよく確認できる。

乳頭型・広基性 82歳・女性

通常光

NBI

病理 UC, pTa, High grade

コメント

NBIにて腫瘍辺縁が分かりやすくなると同時に、通常光では分かりにくい周囲の小さな娘腫瘍が確認できた。

乳頭型・有茎性/広基性 80歳・女性

通常光

NBI

病理 UC, pTa, Low grade(G2)

通常光

NBI

通常光

NBI

通常光

NBI

コメント

膀胱内に多発した再発性腫瘍。NBIにて腫瘍辺縁が分かりやすくなる。

発赤 81歳・男性

通常光

NBI

病理 UC, CIS

コメント

膀胱CISの症例。NBIにて腫瘍辺縁が分かりやすくなる。

発赤 81歳・男性

通常光

NBI

病理 UC, CIS

コメント

膀胱粘膜の発赤・不整像を認め、上皮内がんを疑う症例。

乳頭型・有茎性/広基性+発赤

通常光

NBI

病理 UC, pT1+is, High grade(G3>G2)

通常光

NBI

病理 UC, pT1+is, High grade(G3>G2)

コメント

乳頭型腫瘍とその周囲の異常粘膜をNBIを用いることでより正確に確認できる。
病理組織検査結果はT1+isであった。

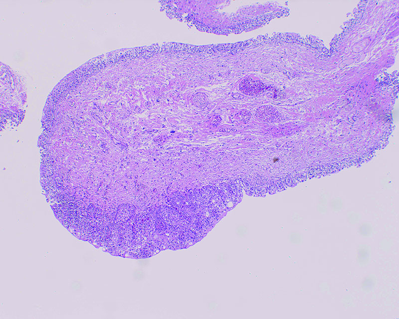
結節型・広基性 82歳・女性

通常光

NBI

病理 UC, pT1, High grade

コメント

通常光ではその辺縁がはっきりしない、丈の低い腫瘍。切除標本の病理組織診断はpT1であった。

乳頭型・有茎性/広基性 84歳・男性

通常光

NBI

病理 UC, pT1,High grade(G2>G3)

コメント

TUR標本にてT1, high grade の診断となった症例。NBIにて腫瘍辺縁が分かりやすくなる。

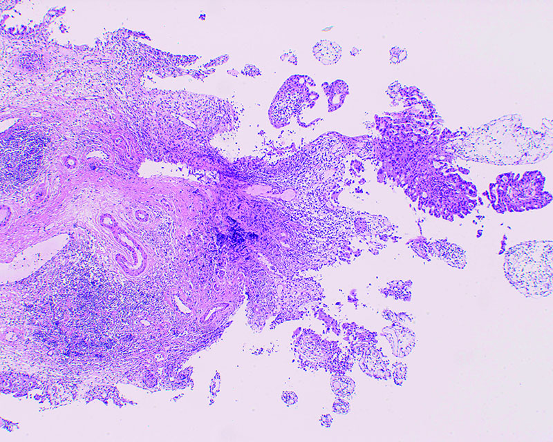
結節型・広基性 78歳・男性

通常光

NBI

病理 SCC>UC, pT1, High grade

コメント

一部潰瘍化のみられる結節型腫瘍。NBIにて腫瘍辺縁が分かりやすくなる。

乳頭型・広基性 87歳・男性

通常光

NBI

病理 UC, High grade(G3)

通常光

NBI

コメント

浸潤性膀胱癌の前立腺部尿道への進展。悪性度の高い乳頭型腫瘍、結節型腫瘍。

結節型・広基性 61歳・男性

通常光

NBI

病理 No malignant tissue

コメント

膀胱頚部に近い前側壁の乳頭型変化。生検にて悪性所見を認めなかった。

右側壁発赤 84歳・男性

通常光

NBI

病理 atypical urothelium

コメント

側壁に見られた軽度の発赤。

ベルベット状粘膜粗糙像 82歳・男性

通常光

NBI

病理 dysplastic urothelium

コメント

ベルベット状粘膜の生検。

粘膜異常 84歳・男性

通常光

NBI

病理 dysplastic urothelium

コメント

左尿管口外側粘膜異常部の生検。

軽度の血管集束像 82歳・男性

通常光

NBI

病理 No malignant tissue

コメント

軽度の血管異常集束。

Keyword
Content Type