OLYMPUS On-Demand Library
Add to View

Superficial squamous cell carcinoma in the left pyriform sinus

Kenji Okami, MD, PhD

Professor,
Department of Otolaryngology, 
Tokai University, Japan

Endoscopic Finding; 


White light image demonstrate a small mucosal nodule in the left pyriform sinus. This is not the specific findings of malignancy. However, NBI image exhibited a well-demarcated brownish area with irregularly scattered vascular proliferation pattern on and around the nodule, which is the specific sign of the superficial cancer of the hypopharynx 

White Light Image
Equipment: OTV-S190, CLV-S190, ENF-VH

NBI Image

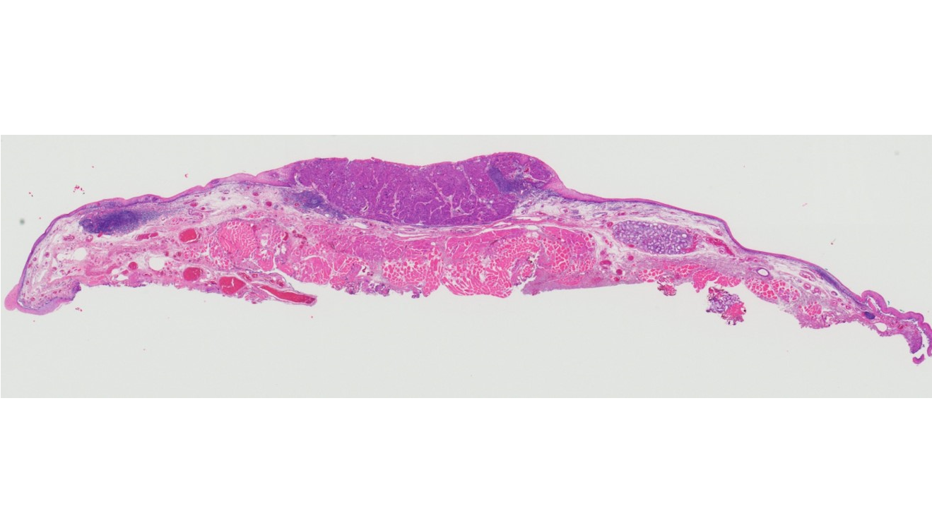
Pathological Finding; 


Superficial squamous cell carcinoma with focally invading into the subepithelial layer. There was no muscular invasion. Tumor size was 12 mm in the greatest dimension and 2 mm in the thickness.  

Both horizontal margin and vertical margin were negative.  

Pathological Images(macro)

Pathological Images(micro)
Keyword
Content Type